お悩みから探す
クマ・目周りのたるみのお悩み|港区・六本木の切らない美容皮膚科|ミサクリニック本院
MiSA Clinic
目の下のクマの種類と効果的な施術
目の下のクマには色素沈着が原因の茶グマ、血流の滞りによる青クマ、加齢で皮膚がたるみ目の下の脂肪の影による影クマなどいくつかの種類があります。
クマと目の周りのたるみ両方にお悩みの方や、他院での脱脂によって窪みが悪化してしまった方にも、適切な施術を組み合わせてアプローチが可能です。

クマ・目周りのたるみの症例
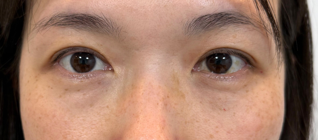
ベビーコラーゲンブースターで切らないクマ取りを実現
ベビーコラーゲンブースターはコラーゲンの生成を促すことができる注入剤で、サラサラしていて浸透しやすいのが特徴です。施術前は眼窩脂肪の膨らみによってクマが目立っていたのが、膨らみの下にベビーコラーゲンブースターを注入して持ち上げたことで段差がなくなり、クマが改善しました。


- 年齢・性別・症状 46歳・女性・クマ
- 施術内容 ベビーコラーゲンブースター2cc
- 施術時間・回数 15分
- 費用 2cc 165,000円
- 副作用・リスク 内出血、腫れ、アレルギー、凹凸感
- 監修医師 寺井 美佐栄
眼窩脂肪HIFUでダウンタイムなくクマ改善
眼窩脂肪HIFUは、高密度焦点式超音波(HIFU)を用いて、脂肪へのアプローチと皮膚の引き締めを同時に行う治療です。ダウンタイムがほとんどないため、手術や注入に抵抗がある方にもおすすめです。
施術前は眼窩脂肪の膨らみによってクマや影が目立っていましたが、HIFUによる引き締め効果により膨らみが軽減し、目元全体がすっきりとした印象へと改善しました。
今回の症例は1回の施術でも変化をご実感いただいておりますが、より効果を高めるためには、2週間おきに3回以上の施術をおすすめしております。


- 年齢・性別・症状 40代・女性・クマ(眼窩脂肪)
- 施術内容 眼窩脂肪HIFU(300ショット)
- 施術時間・回数 30分・1回
- 費用 62,700円
- 副作用・リスク ひりつき、痛み、赤み、腫れ、火傷、水疱、色素沈着、神経障害
- 監修医師 寺井 美佐栄
スネコス注射で自然なクマ改善
スネコスは真皮層に注入することでコラーゲン・エラスチンの生成を促し、肌の弾力やハリを回復させます。非常にサラサラとした製剤で、より自然な仕上がりになります。2週間おきに4回の施術を受けて頂くのが一番効果を実感して頂きやすいですが、今回は3回の施術クマの要因である眼窩脂肪の膨らみを目立たなくさせ、クマが改善しました。


- 年齢・性別・症状 65歳・女性・クマ
- 施術内容 スネコス
- 施術時間・回数 45分(麻酔時間含む)・3回
- 費用 3回 156,750円
- 副作用・リスク 内出血、腫れ、アレルギー
- 監修医師 寺井 美佐栄
クマ・目周りのたるみに使用する施術
エンライトンSR (ピコレーザー)
エンライトンSR(ピコレーザー)は、しみ、くすみ、ニキビ跡、毛穴の開きに効果的な治療です。ピコスポット、ピコトーニング、ピコフラクショナルの3つのモードがあり、皮膚の深層までアプローチします。施術後のダウンタイムが少なく、痛みも軽減されています。

ウルトラセルZi (ハイフ)
ハイフは高密度焦点式超音波を利用したたるみ治療で、皮膚の浅い層から深い筋膜層まで熱を届けます。中でも、ウルトラセルZi(ハイフ)は個々の症状に合った照射深達度で設定することができるため、効果の高い、患者様の望む結果に合わせたデザイン照射が可能となりました。

サーマジェン
サーマジェンはラジオ波(RF)を用いた、たるみや小じわに効果的な治療です。真皮層から脂肪層にかけて広範囲にレーザー照射することから、肌全体を引き締めて頬をすっきりさせることができます。口周りの小ジワや口横の脂肪、フェイスラインのもたつき、下膨れの解消に適しています。

サーマニードル
サーマニードルはRFニードルを使用し、皮膚を刺激してコラーゲン生成を促進し、肌の改善を目指します。微細な針から直接RFのエネルギーを真皮層に届け、引き締めやリフトアップ効果も期待されます。これにより、ニキビ跡やシワの改善が見込まれます。
エコツー (炭酸ガスフラクショナル)
ニキビ跡、クレーター、傷跡、毛穴の治療の中で、最も強力なレーザー治療です。従来のフラクショナルレーザーの3倍の治療効果があると言われています。ニキビ跡や毛穴以外にも、肌の若返り効果や引き締め効果があり、シワ、たるみの改善にも効果を発揮します。

脂肪溶解注射
BNLSアルティメットとFat X Coreは、脂肪溶解注射で部分痩せやセルライト改善に効果的です。BNLSアルティメットは、植物由来成分で炎症を抑え、ダウンタイムを短縮。Fat X Coreは高濃度デオキシコール酸を含み、脂肪細胞を減少させます。

ショッピングリフト
ショッピングリフトは、鍼と医療用の溶ける糸を皮膚に挿入し、たるみを引き締めるリフトアップ施術です。コラーゲン生成を促進し、ハリと弾力感のある美肌を目指せます。痛みやダウンタイムが少なく、手軽に受けられるため「ショッピングリフト」と呼ばれます。
